〒244-8530
神奈川県横浜市戸塚区品濃町537-1
西武東戸塚S.C 西武館2F

くさび状欠損にグラディアCRをおこなった症例

くさび状欠損にグラディアCRをおこなった症例

/

症状から記事を探す

みなさん、こんにちは🍂

歯科助手の富崎です!

今回は、くさび状欠損治療を行なった患者様の症例をご紹介します🦷

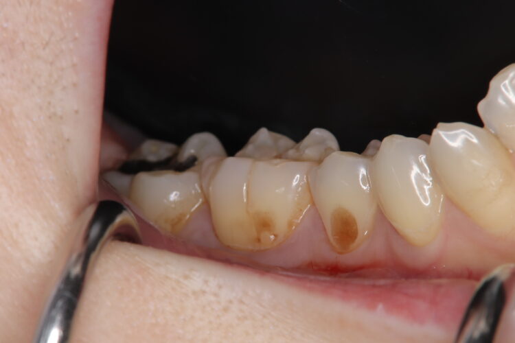
来院時に、歯ぎしり食いしばりが気になっている。奥歯がしみる。と悩まれていました。

こちらの患者様の奥歯がしみる原因は

奥歯のくさび状欠損でした。

くさび状欠損とは

歯と歯茎の境目(歯頚部)がくさび状に削れる歯の摩耗症のことです。

何度か過去に治療をされていたようですが、歯ぎしり食いしばりにより強い力が加わり治療時の材料が取れてしまっています。

そこで、従来修復に使用されてきた素材「レジン(プラスチック)」に、陶器素材のセラミックを混ぜ合わせた、「ハイブリッドセラミック」という素材を使った審美歯科治療を行いました。

【Before】

【After】

◎天然歯の色調や光沢、透明感などをさいげんしやすい

◎経年的な変色や着色が起こりにくい

◎色のバリエーションが豊富なため、自分の歯の色に近づけやすい

このような特徴から、前歯の治療で選ばれる方が多くいらっしゃいます!

しかし、強度が高く破損や摩耗が生じにくいといった特徴もあるため、歯ぎしり食いしばりからの負担や噛む力が大きくかかる奥歯にもおすすめの治療になります!

このような症状でお悩みの方などいっらっしゃいましたら、いつでも気軽にご相談下さいね🦷✨

Menu

東戸塚エス歯科クリニック

住所

〒244-8530
神奈川県横浜市戸塚区品濃町537-1
西武東戸塚S.C 西武館2F

最寄駅

東戸塚駅 東口より徒歩1分

駐車場

あり

支払い方法

現金/PayPay/クレジットカード

10:00〜13:30
14:30〜20:00
\ お急ぎの方はお電話で! /

045-410-8881

24時間いつでもOK!
WEB初診予約

BACK TO TOP

アクセスアイコン

アクセス

LINE予約アイコン

LINE予約

WEB予約アイコン

WEB予約

電話予約アイコン

電話予約

メニュー