アライナー矯正とインプラント治療を併用した症例
症状から記事を探す
みなさんこんにちは✨
季節も進み紅葉も見頃になってきましたね🍁
インフルエンザも流行し始めているようなので、皆様お気をつけてください😷
さて、今回はアライナー(マウスピース)矯正とインプラントを併用した症例をお見せします
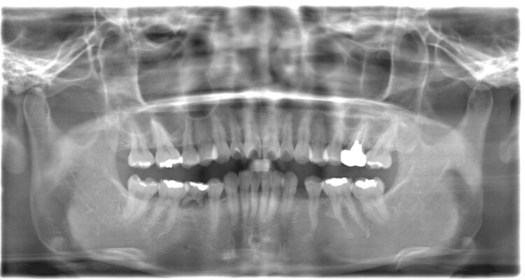
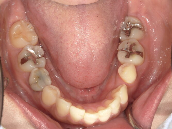
患者様は元々下顎の永久歯が2本ほど欠損しており、残存した乳歯も片方は失われ、もう片方も状態が悪く保存が難しい状態でした。患者様のご要望から全体的に自分の歯を長持ちさせたい、そして審美的にも改善したいとの事から、アライナー(マウスピース)矯正で咬合を作り、そこに合わせてインプラント治療を行っていく旨提案させていただきました。
今回インプラントを埋入するためのスペースも不足していたため、全体的な叢生(歯の混み合い)の修正と合わせてインプラントを入れるスペース作りを行なっています。
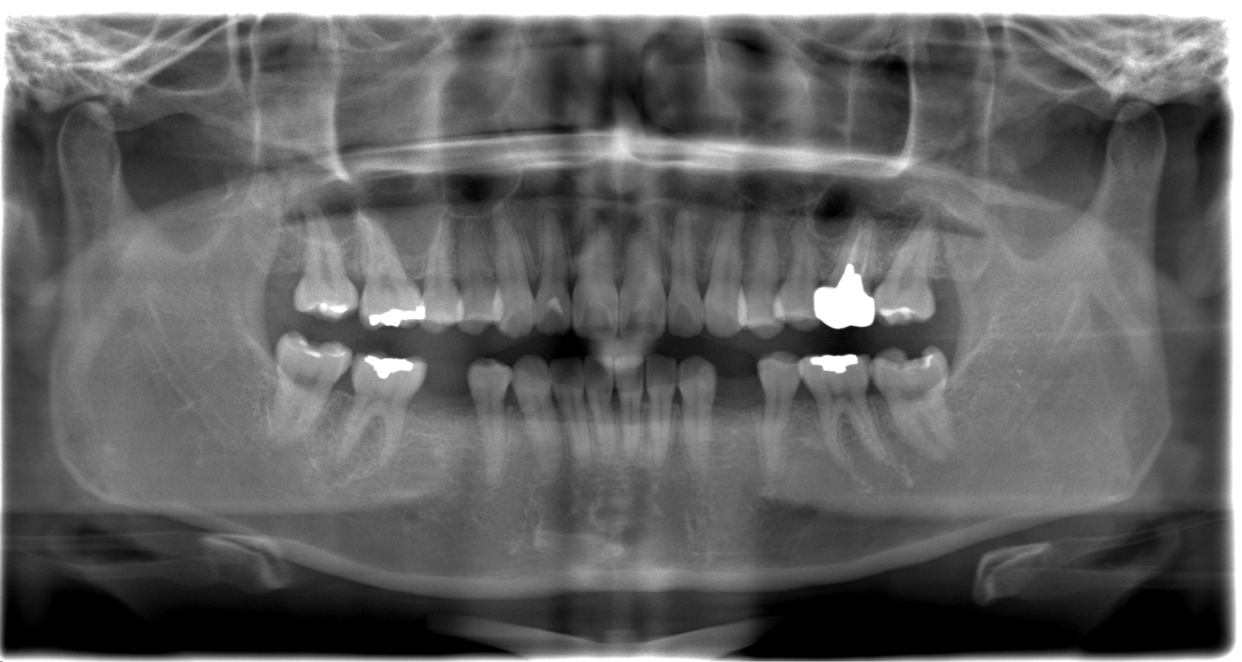
初診時
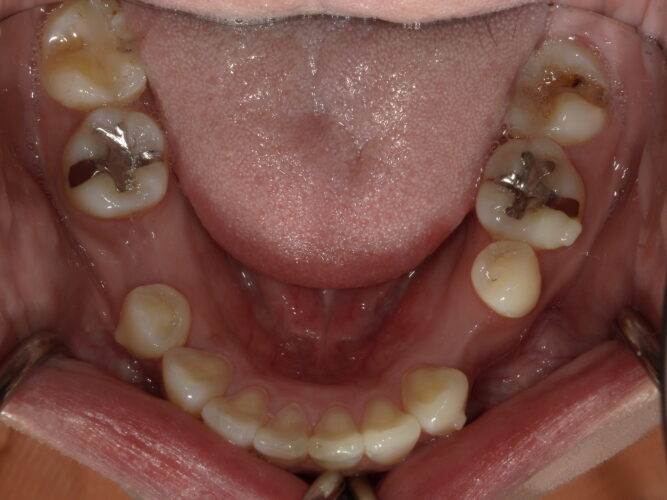
矯正後
約1年程矯正治療を行いインプラント埋入スペースを確保しました。
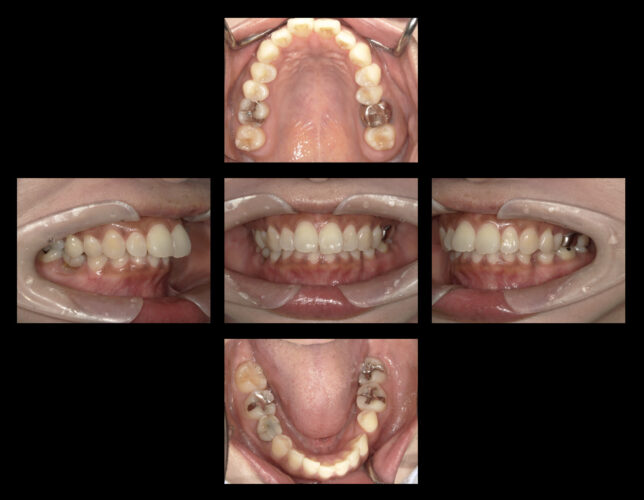
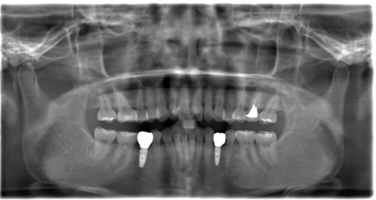
インプラント手術後
インプラント手術し両側にインプラントを埋入しています。
before
after
部分的な治療ではなく、咬合から全体的な調和を図ることで長持ちするインプラント治療が実現出来ます。
結果的に長期的なお口の中の安定と安心してなんでも噛める環境が実現できたと思います。
法人では、矯正治療やインプラント治療、補綴治療など様々な治療を組み合わせてお口の中の環境改善を目指しております。
お口の中でお困りな事があれば、是非ご相談ください!
副院長 永沼


