〒244-8530
神奈川県横浜市戸塚区品濃町537-1
西武東戸塚S.C 西武館2F

インビザライン矯正とインプラントを併用した症例

インビザライン矯正とインプラントを併用した症例

/

症状から記事を探す

最近寒くなってきましたね🌀 皆様いかがお過ごしでしょうか?

本日はインビザライン矯正(マウスピース矯正)とインプラント治療を併用して審美的、機能的に改善した方の症例をご紹介いたします!

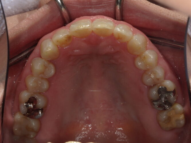
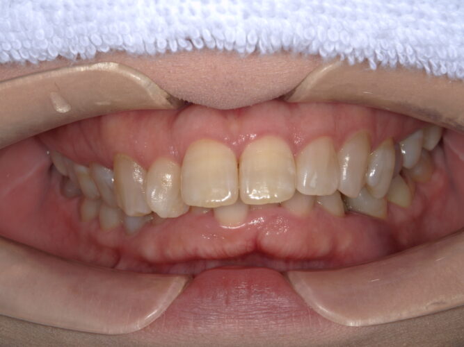
患者様は左下の歯がグラグラして、噛むと痛いと言う主訴でご来院しました。

歯周病により歯が持たず、抜歯しましたが、

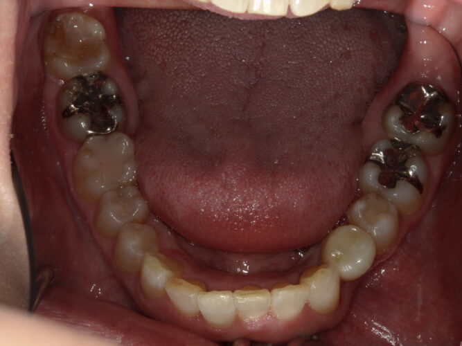
その後他の歯に負担をかけず長持ちするようインプラントを選択されました。

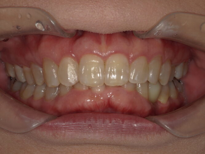
しかし、

・インプラントをするにはスペース的に不足していたこと

・噛み合わせが悪くせっかくインプラントを入れてもインプラント含め、他の残っている歯もリスクがあること

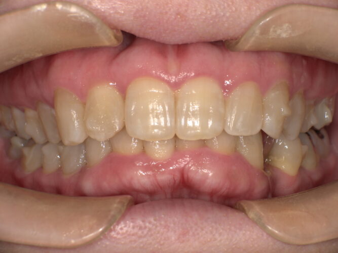
から一緒に相談をして、矯正で噛み合わせを機能的に改善した上でインプラントを埋入することに決めました✨

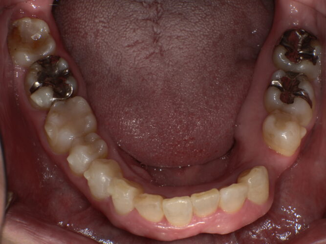
【初診時photo】↓

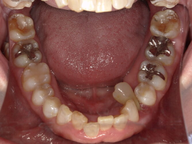
【矯正終了後】↓

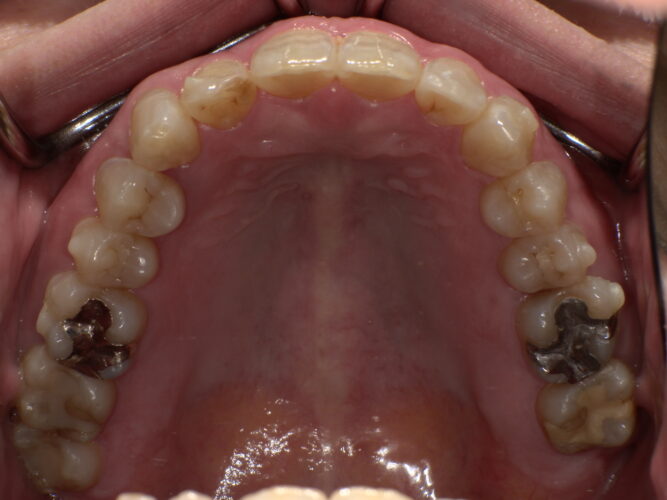
【インプラント埋入後】

歯周病治療、マウスピース矯正、インプラント治療と約2年の治療期間でしたが、この先何十年も健康的な口腔内で元気に過ごして頂くために、最善の治療を選んで下さったと思います🦷✨

私たちは患者様一人一人に合う治療法を提示し、一緒に相談しながら治療にあたっております。

何かあればいつでもご相談くださいね🌟

歯科医師 釜須

 

Menu

東戸塚エス歯科クリニック

住所

〒244-8530
神奈川県横浜市戸塚区品濃町537-1
西武東戸塚S.C 西武館2F

最寄駅

東戸塚駅 東口より徒歩1分

駐車場

あり

支払い方法

現金/PayPay/クレジットカード

10:00〜13:30
14:30〜20:00
\ お急ぎの方はお電話で! /

045-410-8881

24時間いつでもOK!
WEB初診予約

BACK TO TOP

アクセスアイコン

アクセス

LINE予約アイコン

LINE予約

WEB予約アイコン

WEB予約

電話予約アイコン

電話予約

メニュー