〒244-8530
神奈川県横浜市戸塚区品濃町537-1
西武東戸塚S.C 西武館2F

インプラントとブリッジを併用した

インプラントとブリッジを併用した症例

/

症状から記事を探す

皆さん、こんにちは!歯科医師の近藤です😀

今回は欠損部のインプラント治療と前歯部ブリッジ治療の症例についてお話しします。

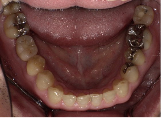
もともと欠損部には何も入れず、反対側も力が加わり根っこが折れてしまい抜歯になったケースです。

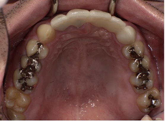
右下と左下の欠損部にはインプラント治療をご希望されました。また上あごの前歯が割れており、膿がたまって骨が大きく溶けてしまっていたため、抜歯を行いブリッジ治療を施しました。

ブリッジの素材は金属を使わないジルコニアという虫歯になりにくい素材を用いて治療させていただきました。

【術前の前歯のCT写真】↓骨が大きく溶けているのがわかります。

【Before】

【After】

インプラントを左右の奥歯に入れたことで左右のバランスが良くなり、前歯の噛み合わせも改善されたことで全体的に調和の取れた噛み合わせをつくる事ができました。

歯がない部分の治療法としては大きく分けて、入れ歯、ブリッジ、インプラントの3種類があります。それぞれに特性があり、その中でも様々な素材を選択できます。

当院では患者様に寄り添い納得した治療計画を立てれるように心がけております、気になることなどありましたらお気軽にご相談ください☺️

Menu

東戸塚エス歯科クリニック

住所

〒244-8530
神奈川県横浜市戸塚区品濃町537-1
西武東戸塚S.C 西武館2F

最寄駅

東戸塚駅 東口より徒歩1分

駐車場

あり

支払い方法

現金/PayPay/クレジットカード

10:00〜13:30
14:30〜20:00
\ お急ぎの方はお電話で! /

045-410-8881

24時間いつでもOK!
WEB初診予約

BACK TO TOP

アクセスアイコン

アクセス

LINE予約アイコン

LINE予約

WEB予約アイコン

WEB予約

電話予約アイコン

電話予約

メニュー