サイナスリフトについて
症状から記事を探す
みなさんこんにちは!
歯科衛生士の小林です。
まだまだ暑い日が続いております💦 水分補給と塩分チャージ忘れずに、残りの夏乗り切りましょう‼︎
さて、みなさんの中に上顎(うわあご)の骨が足りない為インプラント治療は難しいと言われたことがある方はいらっしゃいますか?
まだ諦めないでください人工的に顎の骨を作ってインプラントの治療が可能になるケースも有ります。
今日はそのうちの一つ『サイナスリフト』についてお話ししていきます。
サイナスリフトは上顎洞(副鼻腔)にウィンドウと呼ばれる小さい隙間を開け、そこから人工骨を入れ、骨の生成を促します。インプラント(フィクスチャー)はサイナスリフトのオペと一緒に埋入し、骨が生成されるのと一緒に骨結合(オッセオインテグレーション)を3ヶ月〜待ちます。
※骨の状況によって前後します
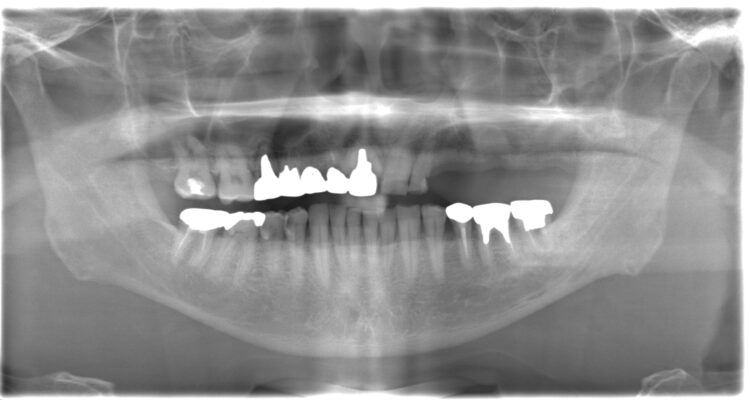
<Before >
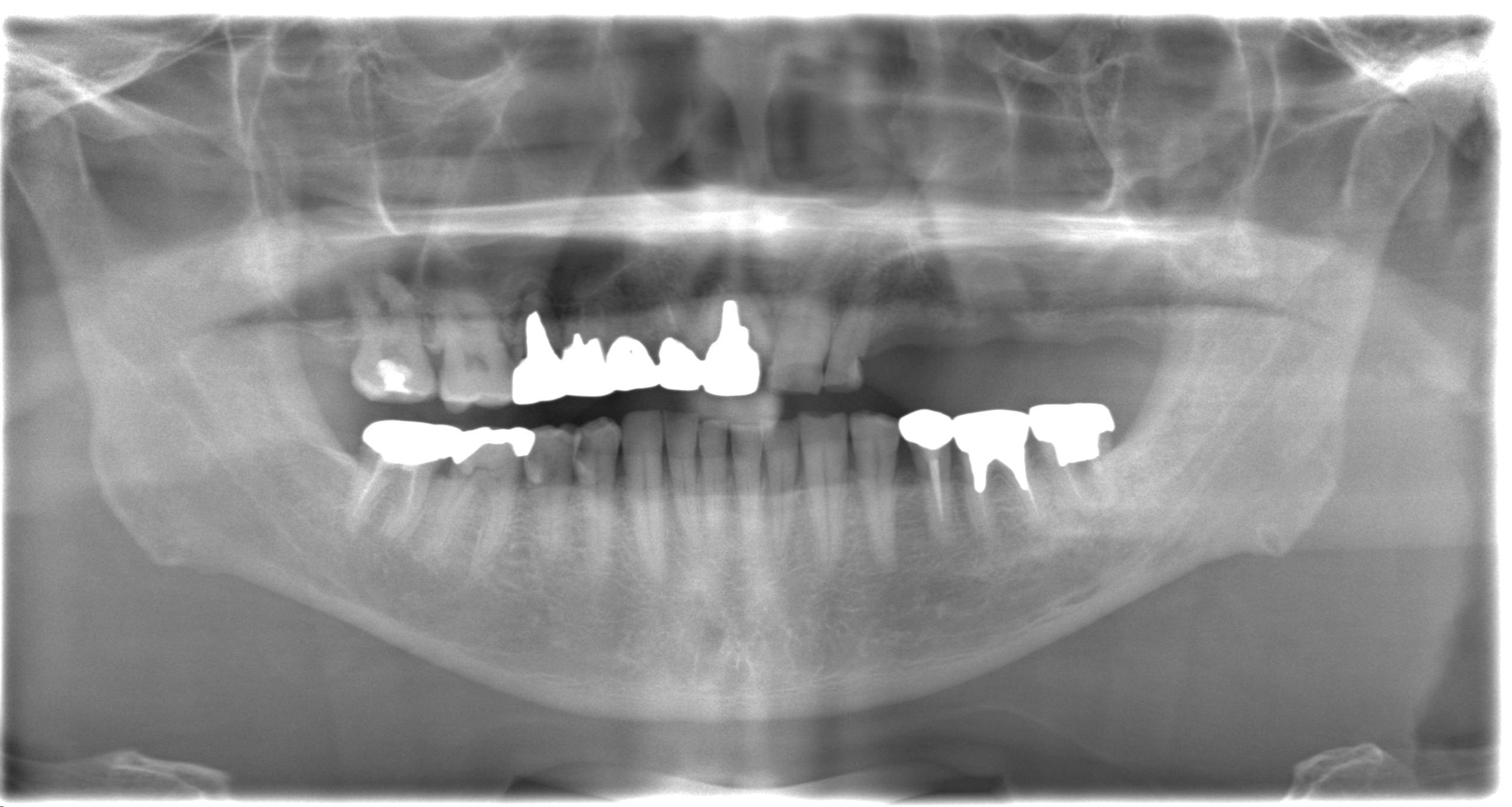
<After>
写真では上顎洞に骨が足されているのがわかります。
骨をしっかり足すことでインプラントを埋入することができました。
術後は腫れや痛みなどの症状がオペ後2、3日〜出てきます。1週間前後かけて症状は落ち着いてきます。
また術後、骨がしっかり生成されるまでは鼻をかむことができなくなります。
術後は大変なことがあるかもしれませんが、インプラント治療を終えた後は楽しくお食事していただけると思います。
お口のことで悩んでいることがございましたらお気軽にスタッフにお声掛けください☆☆
歯科衛生士 小林
