〒244-8530
神奈川県横浜市戸塚区品濃町537-1
西武東戸塚S.C 西武館2F

プラスチックの材料でより美しい歯に

プラスチックの材料でより美しい歯に

/

症状から記事を探す

皆さんこんにちは!紅葉も終わりに近づき、落ち葉が風に舞う光景に秋の深まりを感じますね🍂

本日は前歯部の治療についてお話しします✨

初期〜中期の虫歯治療で活躍する「白い詰め物」。歯科医院で提案される治療法にはいくつかの種類があるのをご存知ですか?

今回は、白い詰め物の代表格である「コンポジットレジン(CR)」と、「グラディアCR」の違いについて、症例とともに素材の特性と仕上がりの美しさに焦点を当てて解説します!

1. コンポジットレジン(CR)
:汎用性の高い標準的な素材

  • どんな材料?:主に歯科用のプラスチック(レジン)でできています。
  • 得意なこと:前歯や奥歯の比較的小さい虫歯の治療に適しています。
  • 特徴と性質:保険診療のため、治療費用を比較的安価に抑えることができるのが大きな特徴です。純粋なプラスチックであるため、年数が経つと着色や変色が見られやすい傾向があります。また、奥歯などの噛む力が強くかかる場所では、耐久性がやや劣る場合があります。

2. グラディアCR(グラディアダイレクト)
:審美性と強度を追求した高性能素材

  • どんな材料?:レジンにセラミックの微粒子を混ぜ込んで作られた、ハイブリッドな複合素材です。
  • 得意なこと:前歯の審美性を重視する治療や、奥歯の強度を求められる治療。より自然な見た目を求める場合に選ばれます。
  • 特徴と性質:色が豊富で、天然歯に近い透明感や光沢を再現しやすいため、治療跡が目立ちにくいです。また、セラミック粒子が配合されていることで、従来のCRよりも強度が高く、摩耗しにくい特性を持っています。自費診療になります。

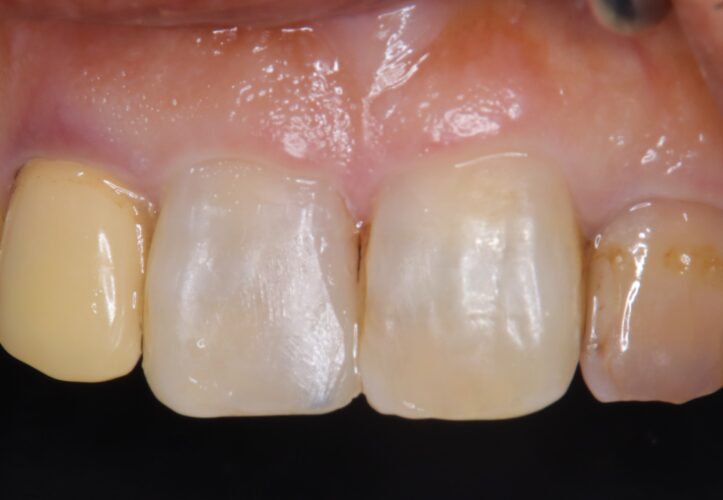
以下は実際のケースになります。元々古い被せ物が入っていた部分は歯肉との間に隙間ができたり、古い詰め物は変色等を起こしていました。
被せ物を新しくやりかえ、詰め物はグラディアCRを用いて治療を行いました。

【before】

【after】

被せ物のやりかえや詰め物の変色など、お困りのことがあればぜひ相談してください🎶

歯科助手兼受付 大橋

Menu

東戸塚エス歯科クリニック

住所

〒244-8530
神奈川県横浜市戸塚区品濃町537-1
西武東戸塚S.C 西武館2F

最寄駅

東戸塚駅 東口より徒歩1分

駐車場

あり

支払い方法

現金/PayPay/クレジットカード

10:00〜13:30
14:30〜19:30
\ お急ぎの方はお電話で! /

045-410-8881

24時間いつでもOK!
WEB初診予約

BACK TO TOP

アクセスアイコン

アクセス

LINE予約アイコン

LINE予約

WEB予約アイコン

WEB予約

電話予約アイコン

電話予約

メニュー