精密歯周病治療を行なった患者さんの症例
症状から記事を探す
皆さん、こんにちは🌞
歯科衛生士の江里口です。
まだまだ暑い日が続きますね💦 熱中症にはくれぐれも気をつけましょう!
さて今回は、精密歯周病治療を行なった患者様の症例についてお話しさせて頂きます!
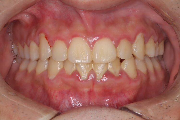
久しぶりに歯医者でのクリーニングとのことでした。
歯茎がかなり腫れて、赤みを帯びて炎症があります。歯石も多く歯茎の中に付着していたため、精密歯周病治療を進めることになりました。
【Before】
歯周病治療では歯石取りはもちろんのこと、歯ブラシ🪥や歯間ブラシの当て方を毎回練習しました。
患者様のお口の状態にあった歯ブラシを使用していただきました。
精密歯周病治療と、ご自身でのセルフケアを頑張って頂いた結果...
【After】
歯茎の炎症がなくなったため、腫れも引いて歯茎の色もきれいな健康的なピンク色になりました。
ご家族にも歯茎がピンク色になったね!と褒められたそうです✨
今でもメンテナンスで来院してくださり、セルフケアを頑張って続けている報告して下さいます☺️
みなさんお口の中の状態は異なります。そのため必要に応じて歯周病治療を行い、皆様に合ったセルフケアの提案をさせて頂きます!
気になる方はぜひ、エス歯科クリニックに検診でいらっしゃってくださいね!
歯科衛生士 江里口

