〒244-8530
神奈川県横浜市戸塚区品濃町537-1
西武東戸塚S.C 西武館2F

自分の歯を美しく理想的な形へ

自分の歯を美しく理想的な形へ

/

症状から記事を探す

近頃寒くなってきましたね❄️
みなさんいかがお過ごしですか?
季節の変わり目は体調を崩しやすいので
お気をつけください😌

突然ですがみなさんはこの人の歯になりたいなと思ったことはありますか?
今回は理想の歯の形の参考画像を持参していただいた患者様の症例についてお話しします。

患者様は根管治療した歯を被せ物にすると同時に周りの前歯も被せ物にして、理想の歯の形にしたいということでご来院いただきました。

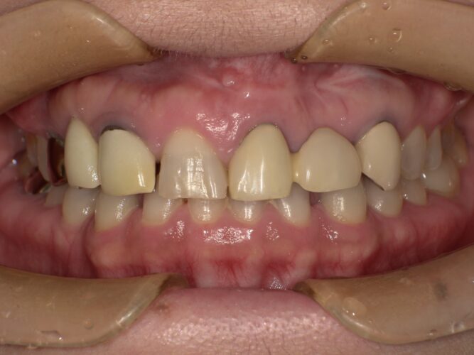
【Before】

【もってきていただいた参考画像】

【After】

歯の色味はもちろん形まで可能な限り好みのものに寄せることができます!
前歯の色味や形など気になることがある方、
前歯に限らず何かお口の中でお困りの方がいたらぜひ一度ご相談ください‼︎

As.阿部

Menu

東戸塚エス歯科クリニック

住所

〒244-8530
神奈川県横浜市戸塚区品濃町537-1
西武東戸塚S.C 西武館2F

最寄駅

東戸塚駅 東口より徒歩1分

駐車場

あり

支払い方法

現金/PayPay/クレジットカード

10:00〜13:30
14:30〜19:30
\ お急ぎの方はお電話で! /

045-410-8881

24時間いつでもOK!
WEB初診予約

BACK TO TOP

アクセスアイコン

アクセス

LINE予約アイコン

LINE予約

WEB予約アイコン

WEB予約

電話予約アイコン

電話予約

メニュー