金属をセラミックに変えた症例
/
症状から記事を探す
皆さんこんにちは!
歯科医師の相澤です
さて、今回は金属の詰め物を全てセラミックに詰め替えた患者様の症例をご紹介します。
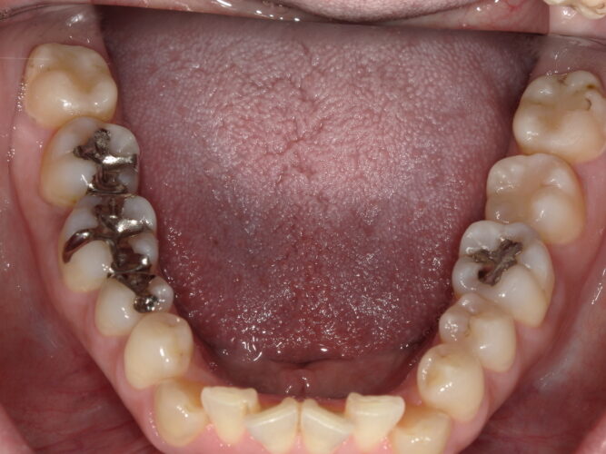
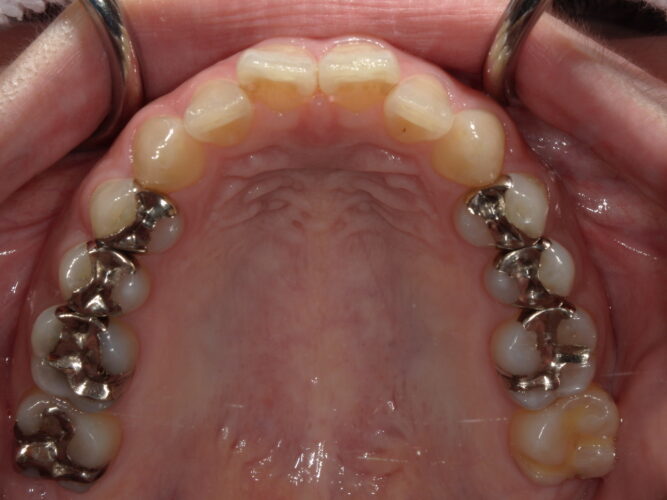
【Before】
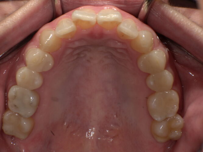
After
ご自身の歯の色味に合わせて詰めることができており、印象が違って見えますね✨
セラミックはお茶碗と同じ陶器の素材でできているのでツルツルしていて汚れがつきにくいです!
変形しない素材なのでフィットが長続きするため、虫歯になりにくいというメリットもあります。
また、当院で扱ってるセラミックはe-maxという通常のセラミックの3~4倍強度の強いものになるので割れにくいのも特徴です💪🏻
セラミックは見た目だけでなく、機能性でも優れている素材です✨
ご興味のある方は、ぜひ一度ご相談にいらしてくださいね!

