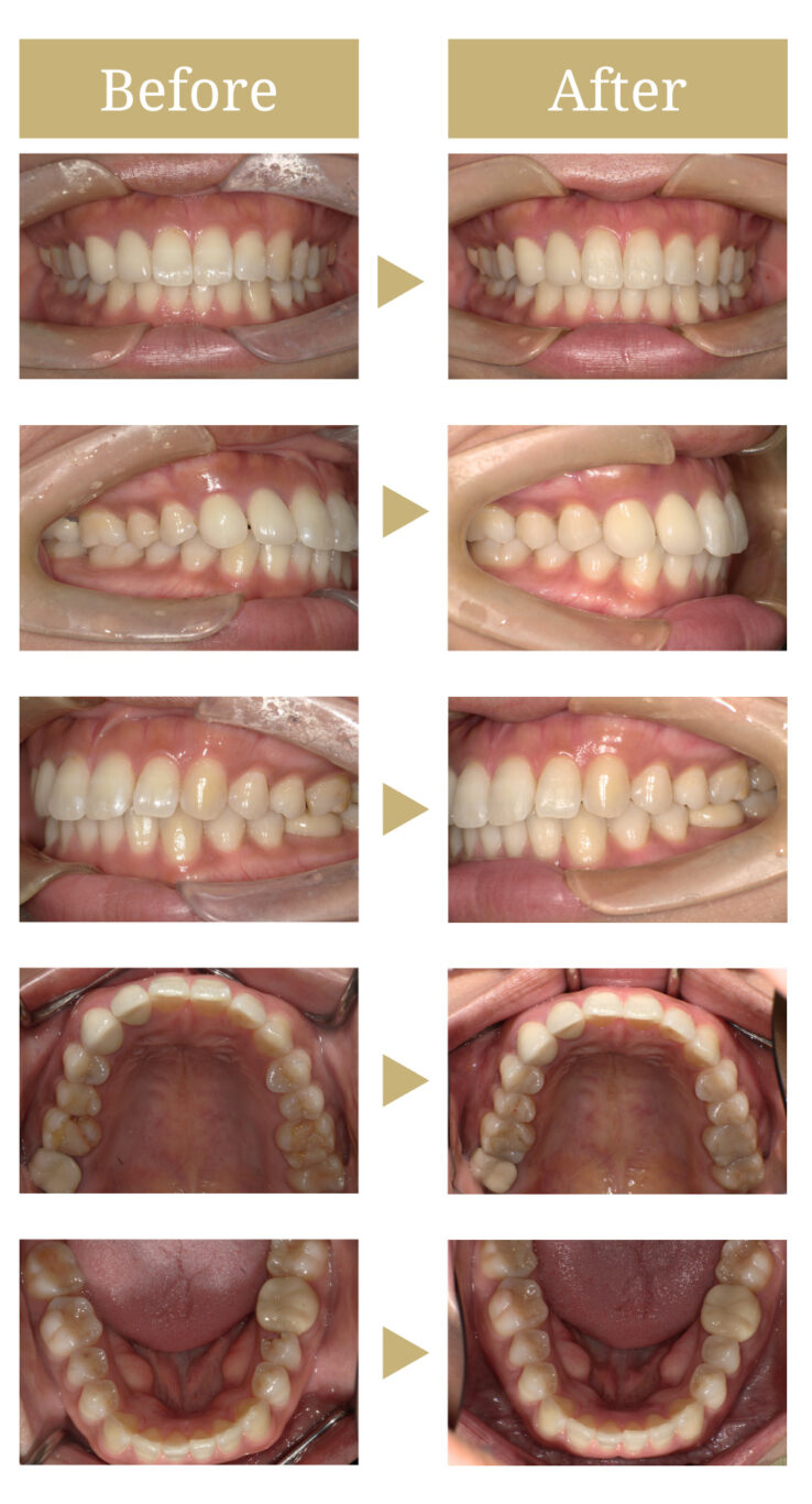
ホワイトスポットを削らず治し、全顎的にも虫歯治療をしたことで、審美的にかなり改善した症例
患者様情報
40代女性
患者様のお悩み
歯がしみる/クリーニング、ホワイトニングが気になる
治療概要
虫歯治療、詰め物・被せ物、クリーニング、ホワイトニング、ホワイトスポット治療
当院からの提案内容
主訴であるクリーニングと歯の虫歯治療をし、並行してホワイトニ
全顎的に治療が終わり、前歯のホワイトスポットが気になっていた
治療内容
まずは虫歯治療を進め、今後虫歯になりにくいセラミックと強度も
ホワイトニングもすすめ、最後にホワイトスポットも削らず改善で
治療前の状態
虫歯が多数あり、歯がかけているところもありました。ホワイトス
治療後の状態
全て審美的に改善でき、大変喜んでいらっしゃいました。
治療費用(税込)
ホワイトスポット:99,000円
ジルコニア、セラミックインレー: 583,000円
オフィスホワイトニング:55,000円
総額:737,000円
治療期間
4ヶ月
通院頻度
1ヶ月に2回
治療回数
10回
リスク・副作用
ホワイトスポットは後戻りのリスクがあります。

