〒244-8530
神奈川県横浜市戸塚区品濃町537-1
西武東戸塚S.C 西武館2F

メニューから探す

インプラントに関する症例一覧

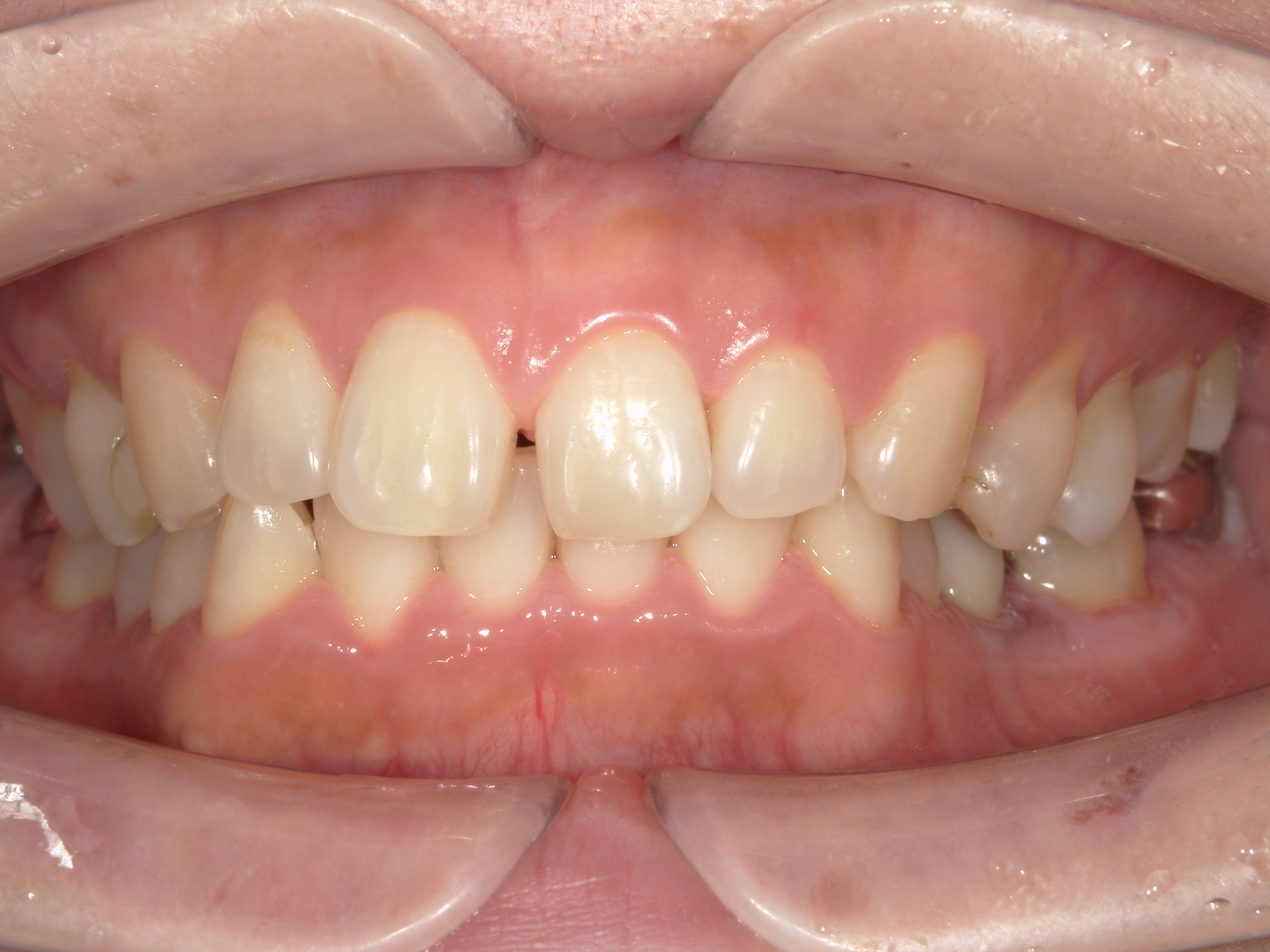
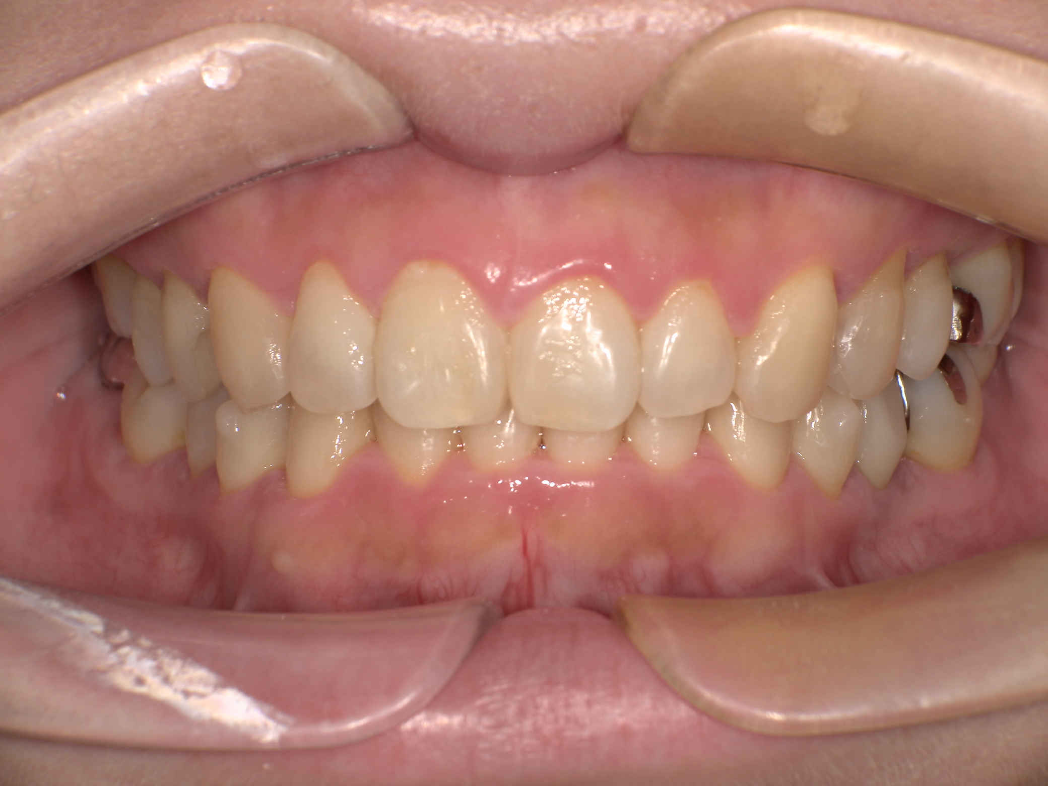
歯冠が崩壊した歯のインプラント治療

治療期間の目安
6ヶ月
治療回数の目安
-
治療費総額の目安
120万円

  患者様のお悩み 重度齲蝕(虫歯)により抜歯と言われ、ブリッジ治療を勧められたが、周りの歯をなるべく削りたくない 治療概要 インプラント・抜歯 重度齲蝕(虫歯)により抜歯と言われ、ブリッジ治療を勧められたが、 […]

詳細を見る

ブリッジからインプラントへの治療

治療期間の目安
7ヶ月
治療回数の目安
-
治療費総額の目安
100万円

  患者様のお悩み 顎の関節の痛みが気になる 治療概要 ブリッジ・インプラント 噛み合わせが顎の痛みの原因であったため、左右下奥歯のブリッジを除去し、インプラントにて理想的な咬み合わせになるように治療を行いまし […]

詳細を見る

前の病院で埋入したインプラントを改善した症例

治療期間の目安
5ヶ月
治療回数の目安
-
治療費総額の目安
95万円

  患者様のお悩み 前歯が折れた為インプラントを考えているが、前の病院で入れたインプラント治療のようにはなりたく無い 治療概要 インプラント・抜歯 前歯が折れたためインプラントを考えているが、前の病院で入れたイ […]

詳細を見る

骨の吸収が大きく他院で断られたケース(サイナスリフト)

治療期間の目安
10ヶ月
治療回数の目安
-
治療費総額の目安
100万円

  患者様のお悩み 奥歯が咬むと痛む 治療概要 抜歯・インプラント 右上奥歯が破折していたため抜歯。 サイナスリフトを併用し、インプラントにて咬めるように治療を行いました。 治療費用・期間 100万+税(自費診 […]

詳細を見る

奥歯のインプラントとマウスピース矯正

治療期間の目安
治療回数の目安
治療費総額の目安

  患者様のお悩み 奥歯が痛い。前歯をきれいに治したい 治療概要 インビザライン・マウスピース矯正・インプラント [当院からの提案内容] 左下の奥歯は、状態が良くないため、インプラントでしっかり噛めるように治療 […]

詳細を見る

全体の咬み合わせを再構築した治療

治療期間の目安
8ヶ月
治療回数の目安
-
治療費総額の目安
350万円

  患者様のお悩み 前歯のブリッジが合わない 治療概要 インプラント・セラミック・詰め物・被せ物 右下奥歯を抜歯。左右の奥歯をインプラントにて咬めるように治療を行いました。 前歯はブリッジを除去し、インプラント […]

詳細を見る

最小限のインプラント治療と被せ物治療で、お口の噛み合わせを再構築した症例

治療期間の目安
1年2ヶ月
治療回数の目安
-
治療費総額の目安
560万円

  患者様情報 30代男性 患者様のお悩み 左下の歯肉が腫れて痛い 食事の際、うまく噛めない 治療概要 詰め物・被せ物、インプラント、オールオン4 当院からの提案内容 まずは、痛みの原因になっている歯の治療を進 […]

詳細を見る

矯正とインプラントを併用した治療

治療期間の目安
1年5ヶ月
治療回数の目安
-
治療費総額の目安
140万円

  患者様のお悩み 何もしなくても奥歯が痛い 治療概要 インプラント・矯正歯科 左上奥歯を抜歯。サイナスリフトを併用し奥歯をインプラントにて咬めるように治療を行いました。 矯正治療も並行して行い、理想的に咬み合 […]

詳細を見る

インビザラインとインプラント、セラミックの被せ物を用いて審美的、機能的に回復させた症例

治療期間の目安
約2年
治療回数の目安
30回
治療費総額の目安
約203万円

    患者様情報 30代女性 患者様のお悩み 親知らずを抜きたい、詰め物が取れた、正中離開(前歯の隙間)が気になる 治療概要 虫歯治療、詰め物・被せ物、インビザライン、インプラント、クリーニング、親 […]

詳細を見る

Menu

東戸塚エス歯科クリニック

住所

〒244-8530
神奈川県横浜市戸塚区品濃町537-1
西武東戸塚S.C 西武館2F

最寄駅

東戸塚駅 東口より徒歩1分

駐車場

あり

支払い方法

現金/PayPay/クレジットカード

10:00〜13:30
14:30〜20:00
\ お急ぎの方はお電話で! /

045-410-8881

24時間いつでもOK!
WEB初診予約

BACK TO TOP

アクセスアイコン

アクセス

LINE予約アイコン

LINE予約

WEB予約アイコン

WEB予約

電話予約アイコン

電話予約

メニュー