〒244-8530
神奈川県横浜市戸塚区品濃町537-1
西武東戸塚S.C 西武館2F

メニューから探す

詰め物・被せ物に関する症例一覧

ブリッジからインプラントへの治療

治療期間の目安
7ヶ月
治療回数の目安
治療費総額の目安
100万円

  患者様のお悩み 顎の関節の痛みが気になる 治療概要 ブリッジ・インプラント 噛み合わせが顎の痛みの原因であったため、左右下奥歯のブリッジを除去し、インプラントにて理想的な咬み合わせになるように治療を行いまし […]

詳細を見る

全体の咬み合わせを再構築した治療

治療期間の目安
8ヶ月
治療回数の目安
治療費総額の目安
350万円

  患者様のお悩み 前歯のブリッジが合わない 治療概要 インプラント・セラミック・詰め物・被せ物 右下奥歯を抜歯。左右の奥歯をインプラントにて咬めるように治療を行いました。 前歯はブリッジを除去し、インプラント […]

詳細を見る

最小限のインプラント治療と被せ物治療で、お口の噛み合わせを再構築した症例

治療期間の目安
1年2ヶ月
治療回数の目安
治療費総額の目安
560万円

  患者様情報 30代男性 患者様のお悩み 左下の歯肉が腫れて痛い 食事の際、うまく噛めない 治療概要 詰め物・被せ物、インプラント、オールオン4 当院からの提案内容 まずは、痛みの原因になっている歯の治療を進 […]

詳細を見る

マウスピース矯正とセラミック治療

治療期間の目安
1年2ヶ月
治療回数の目安
治療費総額の目安
180万円

  患者様情報 40代女性 患者様のお悩み 歯が染みたり痛い時がある 金属の部分をできればかえたい 歯並びも少し気になる 治療概要 詰め物・被せ物、インビザライン 当院からの提案内容 久しぶりの歯科受診であった […]

詳細を見る

全顎的な虫歯治療

治療期間の目安
7ヶ月
治療回数の目安
治療費総額の目安
147万円

  患者様情報 40代女性 患者様のお悩み 歯が痛い/虫歯がある 治療概要 虫歯治療、詰め物・被せ物 提案内容 仕事柄忙しく歯科治療から遠ざかり、全顎的に虫歯がある状態をまず説明させていただきました。神経に達し […]

詳細を見る

抜歯も併用したインビザライン矯正により審美的、機能的に改善した症例

治療期間の目安
2年2ヶ月
治療回数の目安
38回
治療費総額の目安
115万円

    患者様情報 30代女性 患者様のお悩み 歯並びが気になる、噛み合わせが悪い、できればマウスピース矯正希望 治療概要 虫歯治療、詰め物・被せ物、根管治療、インビザライン、クリーニング 当院からの […]

詳細を見る

インプラントとジルコニアの被せ物を用いて審美的、機能的に回復させた症例

治療期間の目安
3年2ヶ月
治療回数の目安
67回
治療費総額の目安
409万円

  患者様情報 50代女性 患者様のお悩み 前歯の根本が黒いのが気になる 治療概要 虫歯治療、詰め物・被せ物、インプラント、クリーニング 当院からの提案内容 元々、前歯の見た目を最も気にされていたため、前歯は綺 […]

詳細を見る

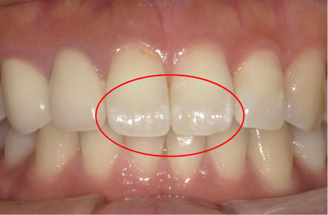
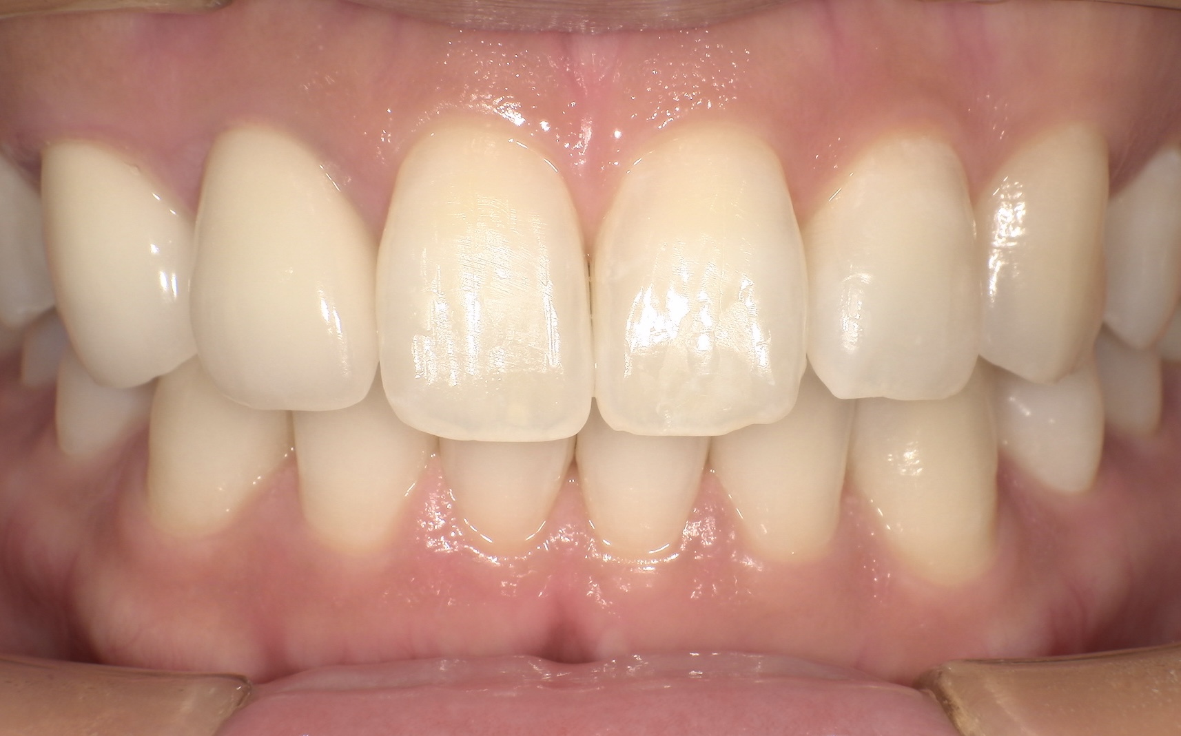
ホワイトスポットを削らず治し、全顎的にも虫歯治療をしたことで、審美的にかなり改善した症例

治療期間の目安
4ヶ月
治療回数の目安
10回
治療費総額の目安
74万円

  患者様情報 40代女性 患者様のお悩み 歯がしみる/クリーニング、ホワイトニングが気になる 治療概要 虫歯治療、詰め物・被せ物、クリーニング、ホワイトニング、ホワイトスポット治療 当院からの提案内容 主訴で […]

詳細を見る

インビザラインとインプラント、セラミックの被せ物を用いて審美的、機能的に回復させた症例

治療期間の目安
2年
治療回数の目安
30回
治療費総額の目安
203万円

    患者様情報 30代女性 患者様のお悩み 親知らずを抜きたい、詰め物が取れた、正中離開(前歯の隙間)が気になる 治療概要 虫歯治療、詰め物・被せ物、インビザライン、インプラント、クリーニング、親 […]

詳細を見る

Menu

東戸塚エス歯科クリニック

住所

〒244-8530
神奈川県横浜市戸塚区品濃町537-1
西武東戸塚S.C 西武館2F

最寄駅

東戸塚駅 東口より徒歩1分

駐車場

あり

支払い方法

現金/PayPay/クレジットカード

10:00〜13:30
14:30〜19:30
\ お急ぎの方はお電話で! /

045-410-8881

24時間いつでもOK!
WEB初診予約

BACK TO TOP

アクセスアイコン

アクセス

LINE予約アイコン

LINE予約

WEB予約アイコン

WEB予約

電話予約アイコン

電話予約

メニュー