〒244-8530
神奈川県横浜市戸塚区品濃町537-1
西武東戸塚S.C 西武館2F

メニューから探す

歯周病に関する症例一覧

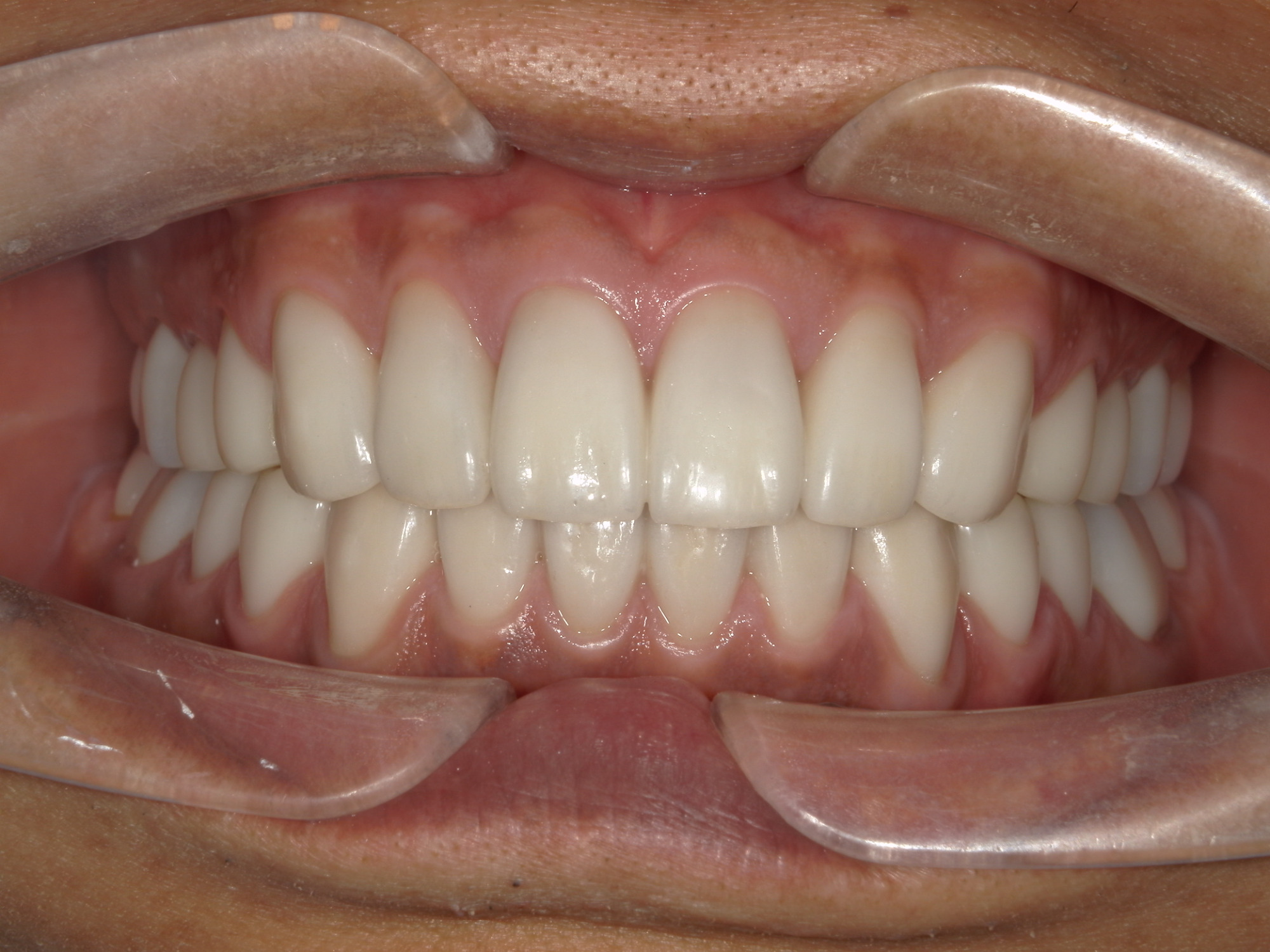
全顎的なセラミック治療によって、審美及び機能咬合回復を行った症例

治療期間の目安
6ヶ月
治療回数の目安
10回
治療費総額の目安
308万円

患者様情報 40代男性 患者様のお悩み 見栄えが気になる、噛み合わせが気になる 治療概要 詰め物・被せ物 提案内容 全顎的に歯が噛耗しており審美的にも、機能的にも改善が必要な状態であった為、全顎的な補綴治療を提案させてい […]

詳細を見る

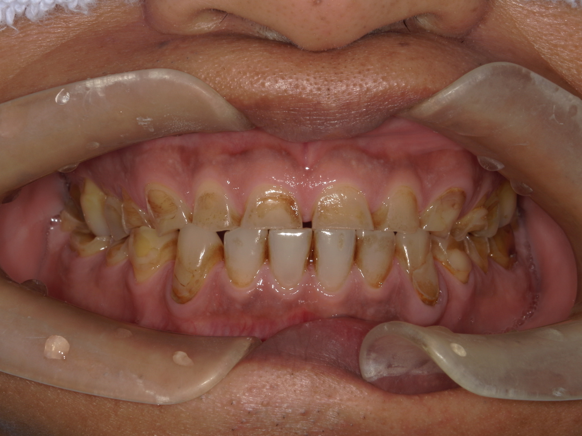
歯周病治療後にホワイトニングで審美性を獲得した症例

治療期間の目安
約4ヶ月
治療回数の目安
9回
治療費総額の目安
141,000円

患者様情報 30代男性 患者様のお悩み クリーニング、歯を白くしたい 治療概要 歯周病治療、ホワイトニング 提案内容 初診時、ブラッシング時の出血の訴えがあり、全顎的に歯肉が腫れていたため、歯周基本治療で口腔内環境を改善 […]

詳細を見る

Menu

東戸塚エス歯科クリニック

住所

〒244-8530
神奈川県横浜市戸塚区品濃町537-1
西武東戸塚S.C 西武館2F

最寄駅

東戸塚駅 東口より徒歩1分

駐車場

あり

支払い方法

現金/PayPay/クレジットカード

10:00〜13:30
14:30〜20:00
\ お急ぎの方はお電話で! /

045-410-8881

24時間いつでもOK!
WEB初診予約

BACK TO TOP

アクセスアイコン

アクセス

LINE予約アイコン

LINE予約

WEB予約アイコン

WEB予約

電話予約アイコン

電話予約

メニュー